首页
>> >> >
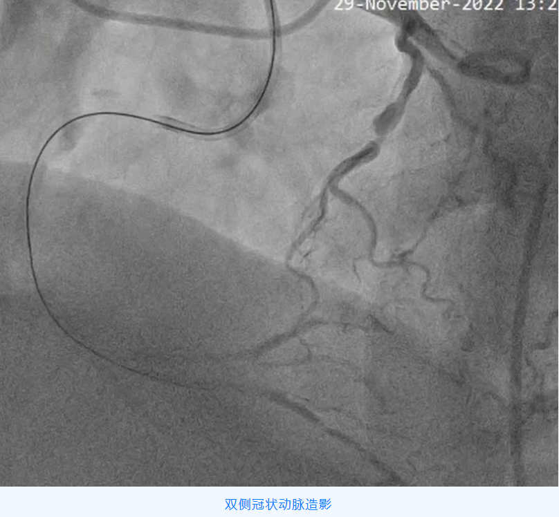
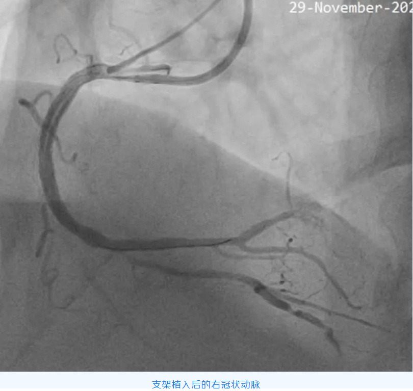
75岁老爷爷冠状动脉慢性闭塞病变,“天花板级”手术为他打开生命通道
家住阎村的赵爷爷,今年75岁,近一年来反复出现胸痛、胸闷,行冠脉CTA检查发现冠状动脉三支病变,其中一根血管完全闭塞,需进一步行冠脉介入治疗。





星城院区心血管内科自7月开科以来,已完成150余例冠脉造影术,50余例冠状动脉支架植入术,20余台冠状动脉血管内超声检查术,4台双腔抗核磁起搏器植入术,2台快速性心律失常射频消融术,2台肾动脉支架植入术,术后患者恢复良好,让周边百姓在家门口就可享受到北京三甲医院的治疗水平。
冠状动脉慢性完全闭塞病变(CTO),即冠状动脉血管腔完全闭塞,且持续闭塞的时间大于 3 个月的病变。对于病人而言,成功开通 CTO 可以延长生命、改善心脏功能、增加心肌电活动稳定性,减少心律失常事件,而且还可以增加以后可能出现的冠状动脉闭塞事件耐受性及提高生活质量,越是年轻患者,开通 CTO 获益越大。
但该手术难度大、成功率低、并发症、再狭窄、再闭塞发生率高,被公认为是冠状动脉介入治疗的天花板。CTO 病变的开通成功率已成为评价医院心血管内科介入治疗水平高低的一个主要指标。
该例CTO 的成功开通,标志着星城院区心血管内科诊疗水平又有了新的突破。
撰稿:星城心内科王志勇
阅读数:

京公网安备 11011102001431号
