首页
>> >> >>
四肢骨折治疗
燕化医院开展手术治疗四肢、骨盆骨折患者取得了良好的效果。股骨颈骨折一般以全髋关节置换(THA)和半髋关节置换为主;而对于股骨转子间骨折的外科治疗多采用内固定手术,包括锁定钢板;动力髋系统即DHS、PFN(A)。具有创伤小(微创)、内固定牢固、术后恢复快便于提早下地活动等优点。肱骨、尺桡骨、股骨干、胫骨干的骨折主要采用带锁髓内钉和锁定钢板治疗;复杂的骨盆骨折则采用切开复位,重建钢板治疗。

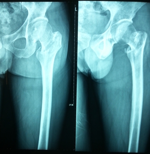
图1.股骨粗隆部骨折

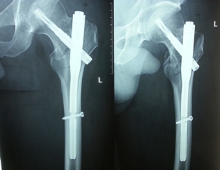
图2.髓内钉 PFN(A)内固定术后

图3. 复杂的骨盆骨折术前

图4.复杂的骨盆骨折则采用切开复位,重建钢板治疗

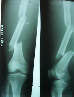
图5. 股骨干多段骨折

图6. 股骨干多段骨折带锁髓内钉内固定术后

图7.股骨近段骨折后骨髓炎、骨不连的治疗
医疗团队

京公网安备 11011102001431号
