动脉狭窄脑梗塞,介入疏通来帮忙
北京燕化医院颈动脉支架置入治疗脑梗塞
家住北京房山城关的老杜今年60出头,从工厂退休也有10年了,身体一直倍儿棒、吃嘛嘛香,老伴儿身体也不错,两个儿子也早已成家立业。这十来年家庭负担一轻,老杜的日子可谓如鱼得水,上午去买买菜溜达一圈,下午出去找一群老哥们儿下下棋、打个牌、钓个鱼什么的,周末间或孩子们带着孙子、孙女回来,含饴弄孙,不亦乐乎。
可是天有不测风云,有天早晨起床,老杜突然觉得头晕、恶心,左手、左腿有点发麻、无力。老杜心里猛地一惊:莫不成和隔壁老王头一样,得脑梗塞了!老杜赶紧叫醒老伴儿,老伴儿一听,急忙叫了120救护车去了房山某医院急诊科。到医院一检查,果然是脑梗塞了,幸好梗塞范围不大,输了几天液之后头晕、左侧肢体无力等症状明显好转。不过医生说老杜左侧颈内动脉重度狭窄,需要放支架,可是该医院做不了这种手术,建议他到市里三甲医院去做。
老杜两口子一听医生这话,心里头可犯了难:隔壁老王当初得了脑梗塞、颈动脉狭窄,医生也是建议他去市里三甲医院放支架,结果市内医院床位太紧张,愣是等了两个月都没住上院。更悲催的是,等了一个月后,老王出现大面积脑梗,虽说最后住上院放了支架,可右边胳膊腿儿还是瘫了,现如今别说去钓鱼、打牌,连走道都得有人搀着,那日子,唉,简直没法儿说。
老杜两口子一辈子都在城关这一带刨食,北京市里认识的人一个巴掌就数完了,家里亲戚也没有学医的,和市里哪家医院也搭不上线,要是也等上两个月再住院,估计就和老王一样就瘫了,那样一来,老两口的好日子可就到头了。
家里碰上这样的大事,老两口决定把孩子们都召回来开个家庭会议。老杜两个儿子打小就乖巧、懂事,是两口子的骄傲,长大后也都在房山城关上班,工作普普通通,两个儿媳妇也都孝顺,没让老两口操什么心。一家人在一起一合计,确实没有谁认识哪家医院的人,只能再想其他办法了。
老大说:“我回单位拜托一下同事们,看看他们能找到熟人,看能早点住上院不。”
老二说:“刚问了隔壁王叔,听说市内大医院挂号难,我今晚就去通宵排队挂号去,实在不行就找黄牛高价挂号,怎么着得先门诊看上病才能排队住院啊~”
老大媳妇说:“我娘舅家二姑娘的公公好像是个医生,我回去让我舅问问他,看他有没有认识的熟人?”
老杜一听孩子们说的,心里嘀咕着看来这事不太好办啊,不由说道:“我现在也没什么特别不舒服的,兴许以后不会再犯病了,要不咱就先观察看看?”
老伴一听这话不干了:“老杜你瞎扯什么呢?!医生都说了你十有八九还得再犯,要是像老王那样,受罪的不还是你和我嘛!”
……
正在一家人一筹莫展之际,一向谨言慎行的老二媳妇发话了:“前几天我看微信,说有一个华医英诺医生集团和咱们燕山的燕化医院共建了介入科,好像就可以治咱爸的这种病,要不咱去看看?”
老二问道:“医院刚成立的科室,行不行?可别水平不咋样反倒误事啊。”
老二媳妇说道:“我看有从北京三甲大医院来的专家全职在燕化医院出诊、手术,水平应该不会差。”
家庭会议最终和往常一样由老伴一锤定音:“行,燕化医院离咱们近,看病也方便,那就先去看看再说。”

隔天上午,老杜两口子就挂了北京燕化医院肿瘤微创介入科陈力强主任的号,给老杜做了详细的体检之后,看着老杜拿过来的CT片子,陈主任说:“还好您这次脑梗塞的范围不大(上图红色箭头所示),所以后遗症不是很重,恢复也快。”


不过陈主任告诉老杜,他右侧的颈内动脉(上图红色箭头)由于粥样硬化斑块形成,和颈外动脉(上图绿色箭头)、左侧颈内动脉(上图黄色箭头)相比,已经有90%狭窄,基本接近闭塞了。动脉重度狭窄会严重影响脑部供血,造成脑供血不足、头晕,而狭窄部位的斑块如果脱落,则会导致脑梗塞,大范围的脑梗塞,甚至会危及生命。
听到陈主任的说法,老杜不免紧张起来:“那可怎么办?听说介入手术可以解决这个问题?”
陈主任说道:“没错,狭窄超过70%的颈动脉,可以通过介入手术,在狭窄的地方放个支架,既可以撑开狭窄的血管、恢复脑部供血,也可以固定局部斑块,避免斑块脱落形成脑梗塞,可谓一举两得。”
老杜还是有点担心:“介入手术会不会有什么风险和痛苦啊?”
陈主任:“颈动脉支架置入一般都是从腹股沟扎一个针眼到血管里,只要局麻就行,术后第二天就能下床活动,痛苦很小,您不用太担心。要说最大的风险,就怕放支架时斑块脱落形成脑梗塞,不过手术当中我们会提前在颈内动脉放一个保护伞,哪怕有斑块脱落也会被保护伞阻拦,不会跑到脑子里面形成脑梗塞。”
最揪心的问题最终还是由老杜的老伴儿来问:“陈主任,咱们燕化医院刚成立介入科吧?这个……”
陈主任哈哈一笑:“这个您放心,虽然我们介入科刚成立不久,不过医生都是我们医生集团从北京各大医院派到燕化医院来的,经验丰富,您甚至可以指定某个专家来做手术。”
老伴一如既往地拍了板:“那太好了,咱也用不着去市里受那个罪,我们家老杜就搁您这治了!”

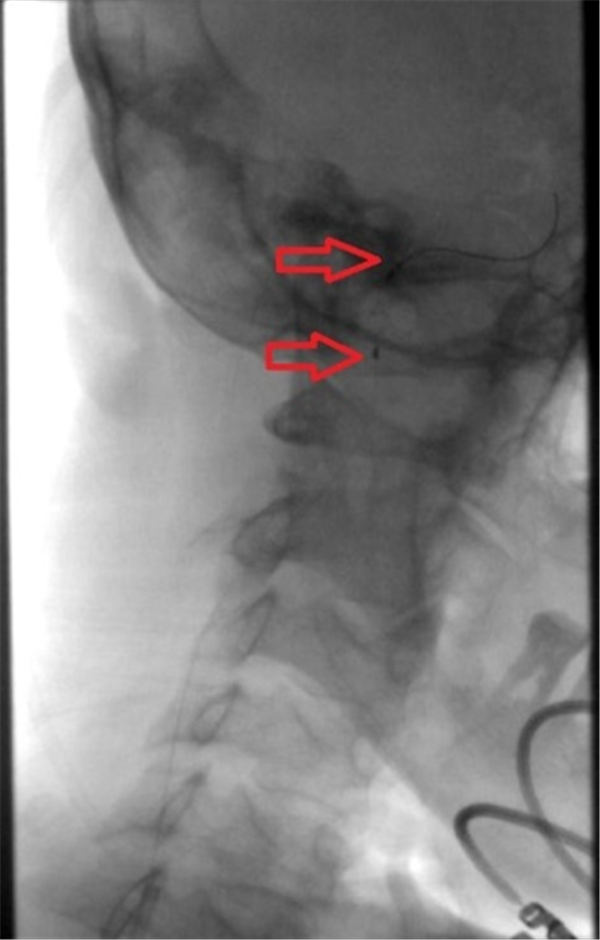
当天,老杜就顺利入住北京燕化医院,第三天就安排了介入手术:在右侧腹股沟局麻之后,穿刺股动脉插管到主动脉,再选择到右侧颈动脉造影,可见右侧颈内动脉重度狭窄、几近闭塞(上图红色箭头)。

确定狭窄部位之后,在微导丝的引导之下,小心的将保护伞(上图红色箭头之间)置于狭窄段远端,以阻拦可能脱落的斑块,避免术中脑梗塞的发生,手术结束之后再将保护伞回收。

之后用球囊扩张右侧颈内动脉(上图红色箭头所示为狭窄部位)。

球囊完全扩张后,可见狭窄部位血流通畅(上图红色箭头所指)。

球囊完全扩张之后,动脉狭窄消失(上图红色箭头之间)。

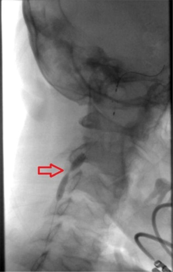
术后再次造影显示,右侧颈内动脉支架位置好,膨胀充分,血流通畅,颅内血管未见异常(上图红色箭头所示)。
整个手术非常顺利,用时不到一个小时。手术之后老杜就能在床上活动、进食,第二天就下地活动,头晕的感觉也消失了,术后第三天就出院了,总共住院不到一周。出院之前,老杜紧紧拉着陈主任的手:“有了燕化医院,咱房山老百姓在家门口就能享受到北京市大医院专家的服务了!”

京公网安备 11011102001431号
